• 450 East Main Street, Middletown NY 10940
  • (845)342-6444
  • Email Us
Donato Dental Middletown NY
Donato Dental Middletown NY
Dentist Orange County NY
Donato Napoletano, D.M.D
General, Cosmetic & Laser Dentistry
(845)342-6444
  • Home
  • Dental Services
    • Practice Overview
    • General Dentistry
    • Cosmetic Dentistry
    • Laser Dentistry
    • Microscope Enhanced Dentistry
    • LANAP Laser Assisted New Attachment Procedure
    • CEREC Single Visit Crowns and Onlays
    • Dental Implants
  • About Us
    • Meet Dr. Napoletano
  • Case Photos
  • Forms
    • New Patient Form
    • Patient Screening Form
    • Post-Op Instructions
  • News
  • Contact
    • Location
MENU CLOSE back  

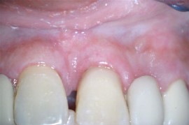
Laser Treatment-Acute Periodontal Abscess

You are here:
  1. Home
  2. Laser Treatment-Acute Periodontal Abscess
In addition to resolving the acute inflammatory condition, tooth mobility was also significantly reduced.
Posted on March 3, 2015
By sdevine Laser Treatment
FacebookshareTwittertweetGoogle+share
Index of Articles
  • Dental Operating Microscope
    November 2, 2014
  • Using Microscopes to Provide Better Patient Care
    February 23, 2009
  • PerioLase® Gum Surgery
    August 12, 2005
  • A Crowning Achievement in Dental Technology
    November 24, 2004
  • Single-Visit Crowns and Onlays using CEREC 3D
    September 10, 2004
  • Minimally Invasive Dentistry with Lasers and Surgical Microscopes
    July 11, 2004
  • Donato Dental adds Laser Periodontal Therapy to Practice
    May 10, 2004
  • Donato Dental incorporates Microscopic Dentistry to Practice
    April 26, 2004
  • Who Needs Anesthesia?
    March 3, 2004
  • Donato Dental adds Laser Microdentistry to Practice
    January 6, 2004
  • Donato Dental Incorporates Digital Radiography to Practice
    March 3, 2003
New York Website Design: DevineDesign.com